Radiologia stomatologiczna Bydgoszcz
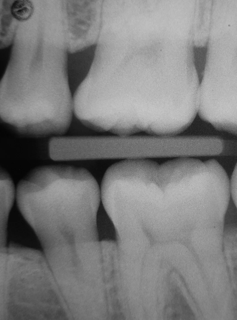
Radiologia stomatologiczna w Bydgoszczy to kluczowy element diagnostyki w stomatologii, pozwalający na dokładną ocenę stanu uzębienia i tkanek otaczających. Wykorzystujemy głównie zdjęcia RTG punktowe, które umożliwiają szczegółowe obejrzenie pojedynczych zębów i wykrycie próchnicy oraz stanów zapalnych. Pantomogram natomiast daje panoramiczny obraz całej jamy ustnej, szczęk i stawów skroniowo-żuchwowych, co jest pomocne w kompleksowej ocenie. Stosujemy nowoczesne cyfrowe technologie, dzięki którym obraz jest wysokiej jakości, a dawka promieniowania minimalna. W gabinecie MałeccyDent w Bydgoszczy dbamy o bezpieczeństwo i komfort pacjentów podczas wykonywania badań radiologicznych.
Zdjęcia punktowe pozwalają na precyzyjną diagnozę i monitorowanie leczenia kanałowego oraz oceny stanu wypełnień. Pantomogram jest często wykorzystywany jako uzupełnienie diagnostyki klinicznej w ocenie zębów i kości szczęk, ułatwiając planowanie leczenia. Każda z metod jest dobierana indywidualnie do potrzeb pacjenta i rodzaju problemu. Radiologia stomatologiczna jest podstawą skutecznego leczenia i monitorowania stanu jamy ustnej.

Jakie metody radiologiczne są najczęściej stosowane w stomatologii?
W stomatologii najczęściej stosujemy zdjęcia punktowe, które dają szczegółowy obraz pojedynczych zębów i okolicznych tkanek. Są one kluczowe w wykrywaniu próchnicy i chorób przyzębia oraz w monitorowaniu leczenia kanałowego. Pantomogram to zdjęcie panoramiczne, które pokazuje całe uzębienie, kości szczęk i stawy skroniowo-żuchwowe, co jest pomocne w diagnozie ogólnej. Metody te zapewniają wysoką rozdzielczość i minimalną dawkę promieniowania. W MałeccyDent w Bydgoszczy korzystamy z nowoczesnych aparatów cyfrowych, które gwarantują bezpieczeństwo i precyzję diagnostyki.
Fotografie punktowe i pantomograficzne są podstawą rutynowej diagnostyki stomatologicznej i umożliwiają szybką identyfikację problemów. Zdjęcia te wspierają planowanie leczenia zachowawczego, protetycznego i chirurgicznego. Dzięki precyzyjnym obrazom możemy skuteczniej prowadzić leczenie i monitorować jego efekty. Stosując profesjonalne metody radiologiczne, zapewniamy naszym pacjentom kompleksową opiekę medyczną.
Radiologia stomatologiczna – najważniejsze fakty w pigułce
-
Zdjęcia punktowe wykrywają próchnicę i zapalenia tkanek okołozębowych.
-
Pantomogram pokazuje panoramiczny obraz zębów oraz struktur kości szczęk i żuchwy.
-
Metody stosowane w stomatologii minimalizują dawkę promieniowania dla pacjenta.
-
Nowoczesna diagnostyka radiologiczna pozwala na precyzyjne planowanie leczenia.
-
W MałeccyDent Bydgoszcz zapewniamy bezpieczne i profesjonalne badania RTG stomatologiczne