Implantologia i implantoprotetyka
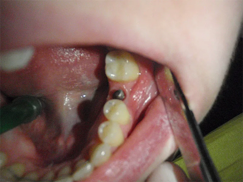
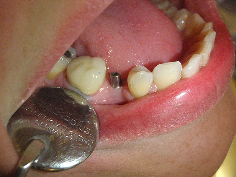
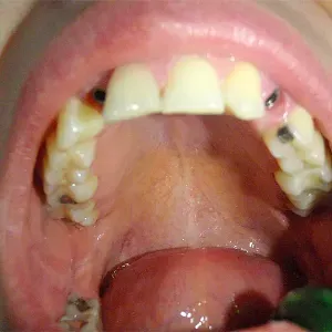
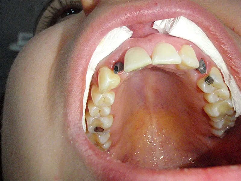
Implanty w Bydgoszczy, to nowoczesna metoda odbudowy uzębienia, gwarantująca komfort i estetykę nawet w najtrudniejszych przypadkach. W naszym gabinecie wszczepy stomatologiczne zakładamy z użyciem indywidualnych szablonów chirurgicznych, dzięki temu zabiegi są precyzyjne, a Pacjent czuje się bezpiecznie na każdym etapie leczenia. Szablony pozwalają idealnie dopasować pozycję implantu do warunków kostnych, minimalizując ryzyko powikłań i przyspieszając proces gojenia.

Nowoczesne techniki i kompleksowa opieka
Proponujemy również implantacje natychmiastowe, które pozwalają wszczepić implant zaraz po usunięciu zęba, skracając czas całkowitej odbudowy. Dla Pacjentów z większymi brakami oferujemy zaawansowane belki na implantach – to stabilne i wygodne rozwiązanie, które umożliwia bezpieczne osadzenie rozległej protezy. W przypadku ograniczonej ilości kości stosujemy podnoszenie dna zatoki szczękowej, co daje szansę na skuteczne leczenie nawet przy dużym zaniku kostnym.
Stawiamy na indywidualne podejście, wysokiej jakości materiały oraz wszechstronną opiekę przed- i pozabiegową. Implanty zębowe są trwałe, nie wymagają szlifowania zdrowych zębów, zachowują naturalną funkcjonalność i estetykę uśmiechu przez długie lata. Zapraszamy na profesjonalne konsultacje – odkryj zalety innowacyjnej implantologii w Bydgoszczy!

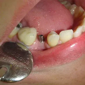
Implanty zębowe – dlaczego warto? Poznaj zalety i ograniczenia
Zastanawiasz się nad trwałym uzupełnieniem braków w uzębieniu? Leczenie implantologiczne to obecnie najbardziej zaawansowana i fizjologiczna metoda odbudowy uśmiechu. W naszym gabinecie (Białe Błota k. Bydgoszczy) zawsze uświadamiamy pacjentów, że choć to inwestycja, jej zwrot w postaci komfortu życia jest nieoceniony. Poniżej przedstawiamy rzetelne zestawienie korzyści oraz ewentualnych wyzwań związanych z tym rozwiązaniem.
Kluczowe zalety leczenia implantologicznego
- Ochrona sąsiednich zębów: W przeciwieństwie do tradycyjnych mostów protetycznych, wszczepienie implantu nie wymaga szlifowania (czyli nieodwracalnego naruszania struktury) zdrowych zębów sąsiadujących z luką.
- Koniec z ruchomymi protezami: Implant to biokompatybilny korzeń osadzony na stałe. Dzięki niemu odzyskujesz pełną swobodę – bez obaw o to, że uzupełnienie przemieści się lub wypadnie podczas jedzenia czy śmiechu.
- Naturalna estetyka i pełna funkcjonalność: Odbudowa protetyczna na implantach do złudzenia przypomina prawdziwe zęby. Przywraca 100% siły żucia, co ułatwia rozdrabnianie pokarmów i poprawia wymowę.
- Zapobieganie zanikowi kości: U pacjentów z całkowitym bezzębiem, implanty pełnią kluczową rolę – przenoszą siły żucia bezpośrednio na kość szczęki lub żuchwy (a nie na wrażliwe dziąsła). Naturalnie stymuluje to tkankę kostną i zapobiega przedwczesnemu starzeniu się rysów twarzy.
- Opłacalna inwestycja na lata: Odpowiednio pielęgnowane implanty to często rozwiązanie na całe życie. Ich wyjątkowa stabilność i brak konieczności przeprowadzania cyklicznych korekt sprawiają, że w dłuższej perspektywie pozwalają zaoszczędzić czas i pieniądze.
Czy implantologia ma wady?
Jak każdy zaawansowany zabieg medyczny, wszczepianie implantów wiąże się z pewnymi uwarunkowaniami. Zawsze otwarcie omawiamy je podczas konsultacji:
- Wyższy koszt początkowy: Cena zabiegu bywa barierą, jednak wynika ona bezpośrednio z zastosowania certyfikowanych, najnowocześniejszych materiałów oraz precyzyjnych narzędzi chirurgicznych. To jednorazowy wydatek, który gwarantuje trwałość i najwyższą estetykę na dekady.
- Wydłużony czas terapii: Pełen sukces wymaga cierpliwości. Tytanowy wszczep potrzebuje czasu na tzw. osteointegrację (trwałe zrośnięcie się z tkanką kostną). Dopiero po upływie od kilku tygodni do kilku miesięcy możemy bezpiecznie zamocować ostateczną koronę.
- Ryzyko odrzucenia: Istnieje marginalne prawdopodobieństwo, że organizm nie zintegruje się z implantem. Jednak dzięki rygorystycznym procedurom medycznym i wykorzystaniu sprzętu najwyższej klasy w naszym gabinecie, ryzyko to jest sprowadzone do absolutnego minimum (odsetek powodzeń wynosi około 98%).